Stomatology ›› 2026, Vol. 46 ›› Issue (4): 266-271.doi: 10.13591/j.cnki.kqyx.2026.04.005
• Basic and Clinical Research • Previous Articles Next Articles
YANG Haochuan1,2,3, YANG Shengjun4, LIU Jingyi1,2,3, XU Binhao1,2,3, WANG Dongmiao1,2,3(
)
Received:2025-10-09
Online:2026-04-28
Published:2026-04-17
Contact:
WANG Dongmiao
E-mail:wdm9921@njmu.edu.cn
CLC Number:
YANG Haochuan, YANG Shengjun, LIU Jingyi, XU Binhao, WANG Dongmiao. Risk factors for cortical bone defect of the mandibular canal related to mandibular third molars with high-risk of inferior alveolar nerve injury[J]. Stomatology, 2026, 46(4): 266-271.
Tab.1
Relationship between demographic and radiographic factors and mandibular canal cortical bone condition associated with IAN-risk M3s"
| 相关因素 | 下颌管皮质骨状态 | P | |||||
|---|---|---|---|---|---|---|---|
| 完整 | 局部缺损 | ||||||
| 性别 | 男性 | 926 | (64.44%) | 511 | (35.56%) | 0.001* | |
| 女性 | 1 170 | (59.94%) | 782 | (40.06%) | |||
| 年龄/岁 | 18~25 | 550 | (60.98%) | 352 | (39.02%) | 0.063 | |
| 26~35 | 823 | (59.99%) | 549 | (40.01%) | |||
| 36~45 | 512 | (65.64%) | 268 | (34.36%) | |||
| 46~55 | 211 | (62.99%) | 124 | (37.01%) | |||
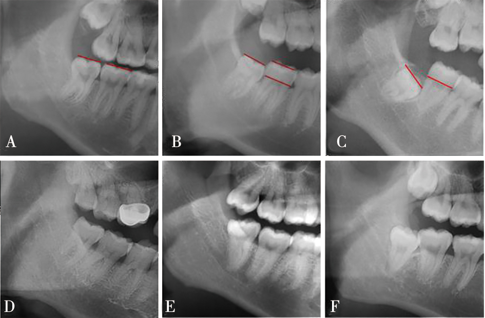
| Winter分类(曲面断层片) | 近中 | 484 | (50.26%) | 479 | (49.74%) | <0.000 1* | |
| 水平 | 566 | (52.85%) | 505 | (47.15%) | |||
| 垂直 | 1 046 | (77.20%) | 309 | (22.80%) | |||
| Pell-Gregory分类(基于第二磨牙咬合平面,曲面断层片) | 高位 | 1 115 | (81.15%) | 259 | (18.85%) | <0.000 1* | |
| 中位 | 786 | (51.37%) | 744 | (48.63%) | |||
| 低位 | 195 | (40.21%) | 290 | (59.79%) | |||
| Pell-Gregory分类(基于下颌升支,曲面断层片) | Ⅰ类 | 762 | (84.57%) | 139 | (15.43%) | <0.000 1* | |
| Ⅱ类 | 888 | (63.66%) | 507 | (36.34%) | |||
| Ⅲ类 | 446 | (40.81%) | 647 | (59.19%) | |||
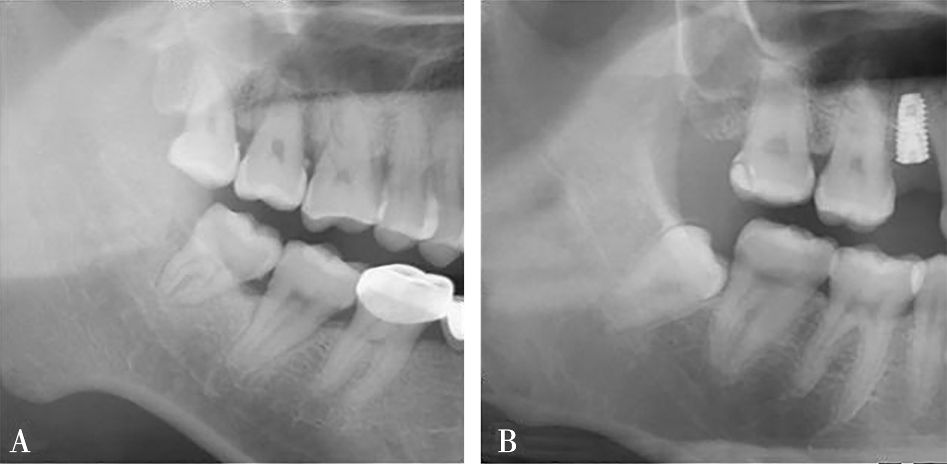
| 下颌管相对M3牙根的位置(CBCT) | 下方 | 816 | (70.77%) | 337 | (29.23%) | <0.000 1* | |
| 颊侧 | 1 173 | (67.92%) | 554 | (32.08%) | |||
| 舌侧 | 101 | (22.15%) | 355 | (77.85%) | |||
| 中间 | 6 | (11.32%) | 47 | (88.68%) | |||
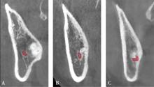
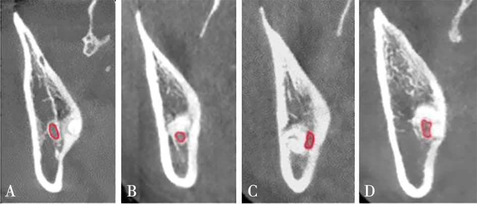
| 下颌管形态(CBCT) | 圆形/卵圆形 | 2 014 | (88.02%) | 274 | (11.98%) | <0.0001* | |
| 狭窄型 | 82 | (7.45%) | 1 019 | (92.55%) | |||
Tab.2
Multivariate Logistic regression analysis of risk factors for mandibular canal cortical bone defect associated with IAN-risk M3s"
| 类别 | 皮质骨状态 | P | OR (95%CI) | ||
|---|---|---|---|---|---|
| 完整 | 局部缺损 | ||||
| 性别 | 男性 | 926(64.44%) | 511(35.56%) | ||
| 女性 | 1 170(59.94%) | 782(40.06%) | 0.090 | 1.227(0.968,1.555) | |
| 年龄 | 18~25 | 550(60.98%) | 352(39.02%) | ||
| 26~35 | 823(59.99%) | 549(40.01%) | 0.139 | 1.237(0.933,1.639) | |
| 36~45 | 512(65.64%) | 268(34.36%) | 0.808 | 1.042(0.746,1.456) | |
| 46~55 | 211(62.99%) | 124(37.01%) | 0.118 | 1.402(0.918,2.140) | |
| Winter分类(曲面断层片) | 近中 | 484(50.26%) | 479(49.74%) | ||
| 水平 | 566(52.85%) | 505(47.15%) | 0.322 | 0.855(0.627,1.166) | |
| 垂直 | 1 046(77.20%) | 309(22.80%) | 0.238 | 0.808(0.568,1.151) | |
| Pell-Gregory分类(基于第二磨牙咬合平面,曲面断层片) | 高位 | 1 115(81.15%) | 259(18.85%) | ||
| 中位 | 786(51.37%) | 744(48.63%) | 0.007* | 1.587(1.133,2.223) | |
| 低位 | 195(40.21%) | 290(59.79%) | 0.047* | 1.569(1.006,2.449) | |
| Pell-Gregory分类(基于下颌升支,曲面断层片) | Ⅰ类 | 762(84.57%) | 139(15.43%) | ||
| Ⅱ类 | 888(63.66%) | 507(36.34%) | 0.082 | 1.389(0.959,2.012) | |
| Ⅲ类 | 446(40.81%) | 647(59.19%) | <0.0001* | 2.504(1.597,3.926) | |
| 下颌管相对M3牙根的位置(CBCT) | 下方 | 816(70.77%) | 337(29.23%) | ||
| 颊侧 | 1 173(67.92%) | 554(32.08%) | 0.055 | 0.783(0.609,1.005) | |
| 舌侧 | 101(22.15%) | 355(77.85%) | <0.000 1* | 2.365(1.581,3.537) | |
| 中间 | 6(11.32%) | 47(88.68%) | 0.020* | 4.243(1.250,14.408) | |
| 下颌管形态(CBCT) | 圆形/卵圆形 | 2 014(88.02%) | 274(11.98%) | ||
| 狭窄型 | 82(7.45%) | 1 019(92.55%) | <0.000 1* | 60.615(46.408,70.181) | |
| [1] | Li YJ, Ling ZJ, Zhang H, et al. Association of the inferior alveolar nerve position and nerve injury: A systematic review and meta-analysis[J]. Healthcare, 2022, 10(9): 1782. |
| [2] | Sehgal A, Saxena V, Rangarajan H, et al. A clinico-radiological study to evaluate the risk of inferior alveolar nerve damage in impacted mandibular third molar removal[J]. J Maxillofac Oral Surg, 2025, 24(3): 775-784. |
| [3] | Chai Y, Dong YB, Lu YP, et al. Risk factors associated with inferior alveolar nerve injury after extraction of impacted lower mandibular third molars: A prospective cohort study[J]. J Oral Maxillofac Surg, 2024, 82(9): 1100-1108. |
| [4] | He H, Ruan N. Factors influencing inferior alveolar nerve injury after extraction of mandibular third molar[J]. Med Oral Patol Oral Cir Bucal, 2024, 29(5): e613-e619. |
| [5] | Maqbool S, Khan NS, Abbas I, et al. Frequency of inferior alveolar nerve injury during third molar extraction[J]. J Coll Physicians Surg Pak, 2024, 34(6): 723-726. |
| [6] | Cheung LK, Leung YY, Chow LK, et al. Incidence of neurosensory deficits and recovery after lower third molar surgery: A prospective clinical study of 4 338 cases[J]. Int J Oral Maxillofac Surg, 2010, 39(4): 320-326. |
| [7] | Barry E, Ball R, Patel J, et al. Retrospective evaluation of sensory neuropathies after extraction of mandibular third molars with confirmed “high-risk” features on cone beam computed topography scans[J]. Oral Surg Oral Med Oral Pathol Oral Radiol, 2022, 134(1): e1-e7. |
| [8] | Del Lhano NC, Almeida Ribeiro R, Martins CC, et al. Panoramic versus CBCT used to reduce inferior alveolar nerve paresthesia after third molar extractions: A systematic review and meta-analysis[J]. Dentomaxillofac Radiol, 2020, 49(4): 20190265. |
| [9] | Korkmaz YT, Kayıpmaz S, Senel FC, et al. Does additional cone beam computed tomography decrease the risk of inferior alveolar nerve injury in high-risk cases undergoing third molar surgery? Does CBCT decrease the risk of IAN injury?[J]. Int J Oral Maxillofac Surg, 2017, 46(5): 628-635. |
| [10] | Tay ABG, Go WS. Effect of exposed inferior alveolar neurovascular bundle during surgical removal of impacted lower third molars[J]. J Oral Maxillofac Surg, 2004, 62(5): 592-600. |
| [11] | Tay WZ, Sklavos A, Mian M, et al. Radiographic predictors of postoperative inferior alveolar nerve injury in mandibular third molar surgery[J]. J Oral Maxillofac Surg, 2025, 83(1): 54-61. |
| [12] | Ueda M, Nakamori K, Shiratori K, et al. Clinical significance of computed tomographic assessment and anatomic features of the inferior alveolar canal as risk factors for injury of the inferior alveolar nerve at third molar surgery[J]. J Oral Maxillofac Surg, 2012, 70(3): 514-520. |
| [13] | Sanmartí-Garcia G, Valmaseda-Castellón E, Gay-Escoda C. Does computed tomography prevent inferior alveolar nerve injuries caused by lower third molar removal?[J]. J Oral Maxillofac Surg, 2012, 70(1): 5-11. |
| [14] | Chen KN, Chen YB, Chen P, et al. Is cone beam computed tomography accurate in predicting inferior alveolar nerve exposure during mandibular third molar extraction?[J]. BMC Oral Health, 2025, 25(1): 353. |
| [15] | Tantanapornkul W, Okochi K, Bhakdinaronk A, et al. Correlation of darkening of impacted mandibular third molar root on digital panoramic images with cone beam computed tomography findings[J]. Dentomaxillofac Radiol, 2009, 38(1): 11-16. |
| [16] | Patel PS, Shah JS, Dudhia BB, et al. Comparison of panoramic radiograph and cone beam computed tomography findings for impacted mandibular third molar root and inferior alveolar nerve canal relation[J]. Indian J Dent Res, 2020, 31(1): 91-102. |
| [17] | On SW, Cho SW, Byun SH, et al. Clinical significance of intraoperative exposure of inferior alveolar nerve during surgical extraction of the mandibular third molar in nerve injury[J]. J Clin Med, 2021, 10(19): 4379. |
| [18] | Chen YF, Liu JY, Pei J, et al. The risk factors that can increase possibility of mandibular canal wall damage in adult: A cone-beam computed tomography (CBCT) study in a Chinese population[J]. Med Sci Monit, 2018, 24: 26-36. |
| [19] | Issrani R, Prabhu N, Sghaireen M, et al. Comparison of digital OPG and CBCT in assessment of risk factors associated with inferior nerve injury during mandibular third molar surgery[J]. Diagnostics (Basel), 2021, 11(12): 2282. |
| [20] | Susarla SM, Sidhu HK, Avery LL, et al. Does computed tomographic assessment of inferior alveolar canal cortical integrity predict nerve exposure during third molar surgery?[J]. J Oral Maxillofac Surg, 2010, 68(6): 1296-1303. |
| [21] | Gümrükçü Z, Balaban E, Karabağ M. Is there a relationship between third-molar impaction types and the dimensional/angular measurement values of posterior mandible according to Pell & Gregory/Winter Classification?[J]. Oral Radiol, 2021, 37(1): 29-35. |
| [22] | Santos KK, Santos Lages F, Maciel CAB, et al. Prevalence of mandibular third molars according to the pell & Gregory and winter classifications[J]. J Maxillofac Oral Surg, 2022, 21(2): 627-633. |
| [23] | Takebe K, Imai T, Kubota S, et al. Deep learning model for the automated evaluation of contact between the lower third molar and inferior alveolar nerve on panoramic radiography[J]. J Dent Sci, 2023, 18(3): 991-996. |
| [24] | Machado AH, Freitas DQ, Fontenele RC, et al. Radiographic evaluation of mandibular third molars: An ex vivo comparative study between multilayer and conventional panoramic radiography[J]. Clin Oral Investig, 2023, 27(11): 6451-6460. |
| [25] | Uzun C, Sumer AP, Sumer M. Assessment of the reliability of radiographic signs on panoramic radiographs to determine the relationship between mandibular third molars and the inferior alveolar canal[J]. Oral Surg Oral Med Oral Pathol Oral Radiol, 2020, 129(3): 260-271. |
| [26] | Reia VCB, de Toledo Telles-Araujo G, Peralta-Mamani M, et al. Diagnostic accuracy of CBCT compared to panoramic radiography in predicting IAN exposure: A systematic review and meta-analysis[J]. Clin Oral Investig, 2021, 25(8): 4721-4733. |
| [27] | Yang Y, Bao DY, Ni C, et al. Three-dimensional positional relationship between impacted mandibular third molars and the mandibular canal[J]. BMC Oral Health, 2023, 23(1): 831. |
| [28] | Tachinami H, Tomihara K, Fujiwara K, et al. Combined preoperative measurement of three inferior alveolar canal factors using computed tomography predicts the risk of inferior alveolar nerve injury during lower third molar extraction[J]. Int J Oral Maxillofac Surg, 2017, 46(11): 1479-1483. |
| [29] | Hasegawa T, Ri S, Shigeta T, et al. Risk factors associated with inferior alveolar nerve injury after extraction of the mandibular third molar: A comparative study of preoperative images by panoramic radiography and computed tomography[J]. Int J Oral Maxillofac Surg, 2013, 42(7): 843-851. |
| [30] | Pogorzelska A, Mielczarek A, Regulski PA, et al. Evaluation of the inferior alveolar canal course in relation to fully and partially impacted lower third molar roots via cone-beam computed tomography[J]. Cureus, 2024, 16(11): e74021. |
| Viewed | ||||||
|
Full text |
|
|||||
|
Abstract |
|
|||||